Hôpital Cheikh Khalifa · Casablanca  |  Hôpital Mohammed VI · Bouskoura
ritabentahila@gmail.com +212 (0) 6 94 15 31 90
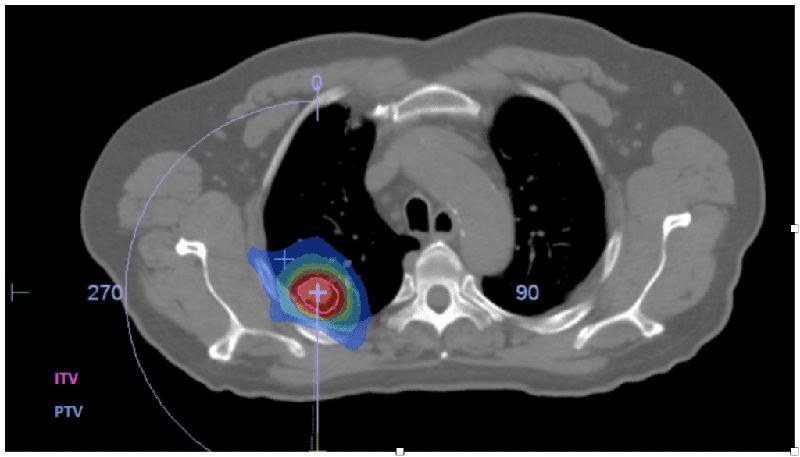
Stéréotaxie SBRT

Radiothérapie stéréotaxique (SBRT) : traitement ciblé à Casablanca

Radiothérapie stéréotaxique (SBRT) : traitement ciblé à Casablanca Casablanca

Qu'est-ce que la radiothérapie stéréotaxique ?

La radiothérapie stéréotaxique (SBRT — Stereotactic Body Radiation Therapy) est une technique de pointe qui délivre des doses très élevées de rayonnement en un petit nombre de séances (3 à 5), avec une précision sub-millimétrique. Elle utilise de multiples faisceaux convergeant sur la tumeur depuis différents angles, concentrant l'énergie sur la cible tout en préservant les tissus sains.

Quels cancers peut-elle traiter ?

Avantages par rapport à la chirurgie

Expertise du Dr Bentahila à Casablanca

Le Dr Bentahila a développé une expertise spécifique en SBRT rénale et en ré-irradiation spinale, documentée par ses publications dans Frontiers in Oncology et le French Journal of Urology. Elle propose cette technique à l'Hôpital Cheikh Khalifa de Casablanca et à l'Hôpital Mohammed VI de Bouskoura.

Mini FAQ

La SBRT est-elle plus efficace que la chirurgie ?
Pour les cancers du poumon précoces, les résultats sont comparables, avec moins de risques opératoires. La décision dépend de chaque situation.

Combien de séances ?
En général 3 à 5 séances, réparties sur 1 à 2 semaines selon la localisation.

PrécédentEffets secondaires de la radiothérapie
SuivantCancer de la prostate : prise en charge
Prendre rendez-vous avec le Dr Bentahila
Hôpital Cheikh Khalifa, Casablanca · Hôpital Mohammed VI, Bouskoura
+212 (0) 6 94 15 31 90 ritabentahila@gmail.com